Idiopathic hypertrophic cranial pachymeningitis successfully treated with dexamethasone – a case report

Autor

DOI:

https://doi.org/10.21164/pomjlifesci.740

Słowa kluczowe:

idiopathic hypertrophic pachymeningitis, lymphoma, dexamethasone, IHCP

Abstrakt

Introduction: Idiopathic hypertrophic cranial pachymeningitis (IHCP) is a rare pathological entity which is diagnosed after the exclusion of secondary reasons. Most frequently, IHCP is related to rheumatological diseases such as rheumatic arthritis, sarcoidosis, anti-neutrophil cytoplasmic antibody-associated vasculitis, and IgG4-related disorders. The inflammatory process concerns dura mater and manifests with symptoms of cranial nerve damage or compression.

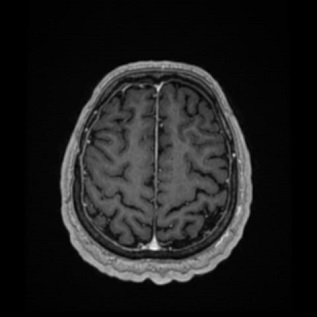
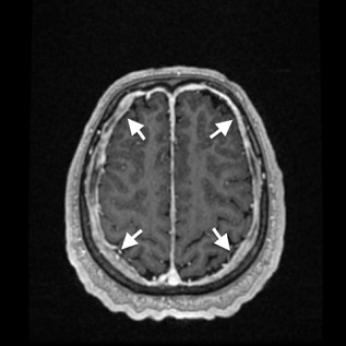
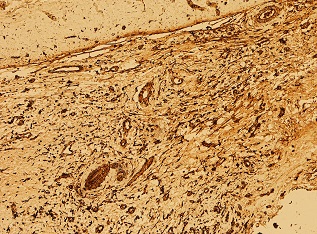
Case description: A 59-year-old Caucasian man presented with transitional episodes of tinnitus and an unspecific headache. Imaging studies (magnetic resonance imaging – MRI) demonstrated a thickened dura mater. Lymphoma was suspected due to an abnormal flow cytometric analysis of a cerebrospinal fluid (CSF) sample. Hematological diagnostics including bone marrow biopsy, whole body computed tomography (CT) and digestion tract examination were performed leading to the exclusion of hematological malignancy. The patient underwent surgery, and a specimen from the lesion was obtained. On this basis, intracranial idiopathic hypertrophic pachymeningitis was diagnosed. First line treatment strategy was introduced with corticosteroids with a gradual dose reduction. After the 48-month follow-up, we observed an alleviation of symptoms with a gradual significant decrease in the thickening of dura matter with almost complete resolution.

Conclusions: Idiopathic hypertrophic pachymeningitis should be considered in the differential diagnosis of a thickened dura mater. Administration of steroids appears reasonable as a first line treatment of IHCP.

Pobrania

Statystyki pobrań niedostępne.

Bibliografia

Hahn LD, Fulbright R, Baehring JM. Hypertrophic pachymeningitis. J Neurol Sci 2016;367:278-83.

Hatano N, Behari S, Nagatani T, Kimura M, Ooka K, Saito K, et al. Idiopathic hypertrophic cranial pachymeningitis: clinicoradiological spectrum and therapeutic options. Neurosurgery 1999;45(6):1336-44.

Mekinian A, Maisonobe L, Boukari L, Melenotte C, Terrier B, Ayrignac X, et al. Characteristics, outcome and treatments with cranial pachymeningitis: A multicenter French retrospective study of 60 patients. Medicine (Baltimore) 2018;97(30):e11413. doi:10.1097/MD.0000000000011413.

Slade SJ, Bauer EM, Stone VV, Dave AJ. Spinal IgG4-Related Hypertrophic Pachymeningitis with Spinal Cord Compression: Case Report and Literature Review. World Neurosurg 2019;130:65-70.

Rudnik A, Larysz D, Gamrot J, Rudnik A, Skorupa A, Bierzyńska-Macyszyn G, et al. Idiopathic hypertrophic pachymeningitis – case report and literature review. Folia Neuropathol 2007;45(1):36-42.

Khalil M, Ebner F, Fazekas F, Enzinger C. Neurological picture. Idiopathic hypertrophic cranial pachymeningitis: a rare but treatable cause of headache and facial pain. J Neurol Neurosurg Psychiatry 2013;84(3):354-5.

Lee YC, Chueng YC, Hsu SW, Lui CC. Idiopathic hypertrophic cranial pachymeningitis: case report with 7 years of imaging follow-up. AJNR Am J Neuroradiol 2003;24(1):119-23.

Kim JH, Chang KH, Na DG, Park SH, Kim E, Han DH, et al. Imaging features of meningeal inflammatory myofibroblastic tumor. AJNR Am J Neuroradiol 2009;30(6):1261-7.

Margoni M, Barbareschi M, Rozzanigo U, Sarubbo S, Chioffi F, Tanel R. Idiopathic hypertrophic cranial pachymeningitis as a rare cause of status epilepticus. Neurol Sci 2019;40(10):2193-5.

Mamelak AN, Kelly WM, Davis RL, Rosenblum ML. Idiopathic hypertrophic cranial pachymeningitis. Report of three cases. J Neurosurg 1993;79(2):270-6.

Kupersmith MJ, Martin V, Heller G, Shah A, Mitnick HJ. Idiopathic hypertrophic pachymeningitis. Neurology 2004;62(5):686-94.

Sylaja PN, Cherian PJ, Das CK, Radhakrishnan V, Radhakrishnan K. Idiopathic hypertrophic cranial pachymeningitis. Neurol India 2002;50(1):53-9.

Rizzo E, Ritchie AE, Shivamurthy V, Siddiqui A, Lim M. Idiopathic Hypertrophic Pachymeningitis: Does Earlier Treatment Improve Outcome? Children (Basel) 2020;8(1):11. doi:10.3390/children8010011.

Charleston L 4th, Cooper W. An Update on Idiopathic Hypertrophic Cranial Pachymeningitis for the Headache Practitioner. Curr Pain Headache Rep 2020;24(10):57. doi: 10.1007/s11916-020-00893-5.

Pliki dodatkowe

Opublikowane

2021-09-15

Inne teksty tego samego autora

1 2 3 > >>