Ormond’s disease accompanied by ankylosing spondylitis – a case report

Authors

DOI:

https://doi.org/10.21164/pomjlifesci.520

Keywords:

retroperitoneal fibrosis, Ormond’s disease, ankylosing spondylitis

Abstract

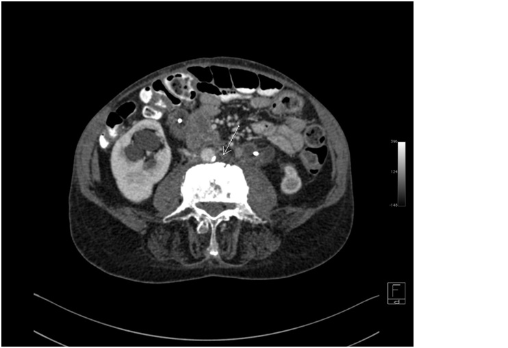
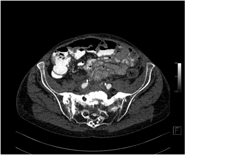
Idiopathic retroperitoneal fibrosis, or Ormond’s disease, is a rare syndrome which is in essence the deposition of pathological fibrous tissue in the retroperitoneal space. In most cases, it is initially asymptomatic, but as the disease progresses, clinical symptoms develop. The main complaint are abdominal pain and symptoms resulting from the involvement of ureters, arterial and venous vessels. Diagnosis is based on computed tomography or magnetic resonance imaging, demonstrating a fibrotic tissue mass accumulated in the retroperitoneal space. Due to the typically late presentation of clinical symptoms, a diagnosis is difficult and is often made after complications occur. In our article, we present the case of a 71-year-old patient in whom coexisting ankylosing spondylitis and retroperitoneal fibrosis were diagnosed 15 years after non-specific abdominal pain occurred.

Downloads

Download data is not yet available.

References

Urban ML, Palmisano A, Nicastro M, Corradi D, Buzio C, Vaglio A. Idiopathic and secondary forms of retroperitoneal fibrosis: a diagnostic approach. Rev Med Interne 2015;36(1):15-21.

Uibu T, Oksa P, Auvinen A, Honkanen E, Metsärinne K, Saha H, et al. Asbestos exposure as a risk factor for retroperitoneal fibrosis. Lancet 2004;363(9419):1422-6.

Łukaszewicz M, Kozłowska K, Pieczyńska A, Małyszko J. Choroba Ormonda jako przyczyna pozanerkowego ostrego uszkodzenia nerek – opis przypadku. Nefrol Dial Pol 2014;18(2):95-9.

Vaglio A, Salvarani C, Buzio C. Retroperitoneal fibrosis. Lancet 2006;367(9506):241-51.

Stone JH, Zen Y, Deshpande V. IgG4-related disease. N Engl J Med 2012;366(6):539-51.

Maritati F, Corradi D, Versari A, Casali M, Urban ML, Buzio C, et al. Rituximab therapy for chronic periaortitis. Ann Rheum Dis 2012;71(7):1262-4.

Wendling D, Toussirot E, Fabrice M. Spondyloarthropathy and retroperitoneal fibrosis: a case report. Joint Bone Spine 2002;69:334-7.

Afeltera A, Gentilucci UV, Rabitti C, Amoroso A, Caricato M, Vadacca M, et al. Retroperitoneal fibrosis and ankylosing spondylitis: which links? Semin Arthritis Rheum 2005;35(1):43-8.

LeBlanc CM, Inman RD, Dent P, Smith C, Babyn P, Laxer RM. Retroperitoneal fibrosis: an extraarticular manifestation of ankylosing spondylitis. Arthritis Rheum 2002;47(2):210-4.

Bezza A, El Maghraoui A, Ghadoune M, Tabache F, Abouzahir A, Abbar M, et al. Idiopatic retroperitoneal fibrosis and ankylosing spondylitis. A new case report. Joint Bone Spine 2002;69(5):502-5.

Solomon SD, Maurer KH. The association of retroperitoneal fibrosis and ankylosing spondylitis. J Rheumatol 1985;12(4):818.

Downloads

Published

2020-09-18

Most read articles by the same author(s)