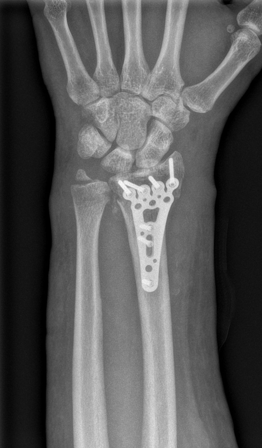
Successful surgery to reduce and fixate with the plate of neglected, displaced fracture of the distal radius

Authors

  • Andrzej Żyluk Klinika Chirurgii Ogólnej i Chirurgii Ręki Pomorski Uniwersytet Medyczny w Szczecinie
  • Bernard Piotuch Klinika Chirurgii Ogólnej i Chirurgii Ręki, Pomorski Uniwersytet Medyczny w Szczecinie.

DOI:

https://doi.org/10.21164/pomjlifesci.1117

Keywords:

distal radial fracture, failure of surgery, secondary displacement, corrective operation

Abstract

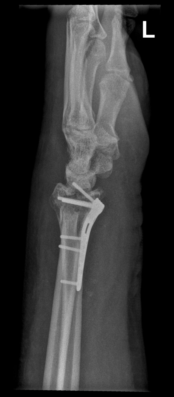
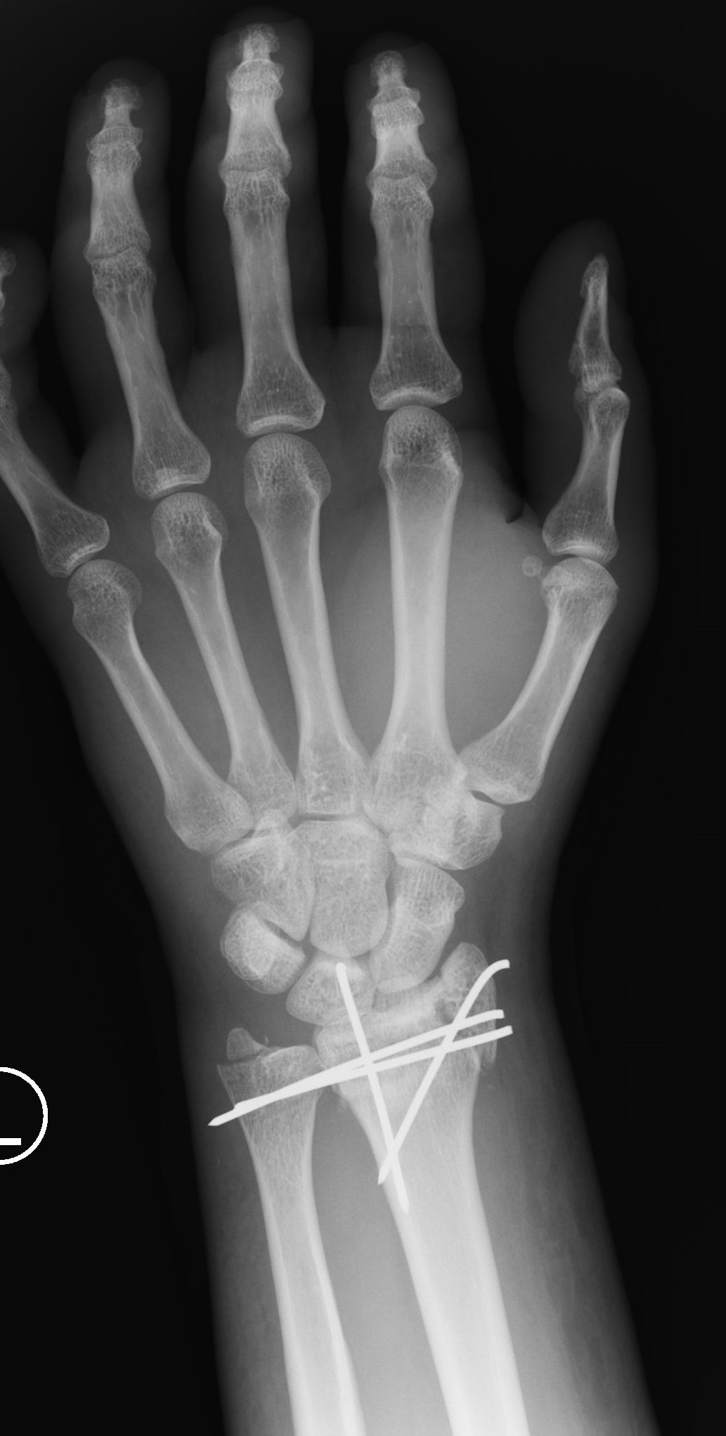
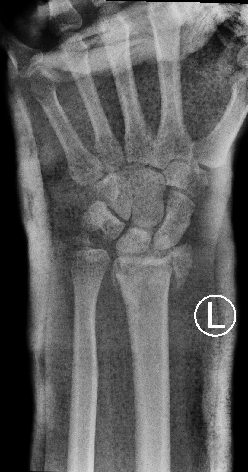
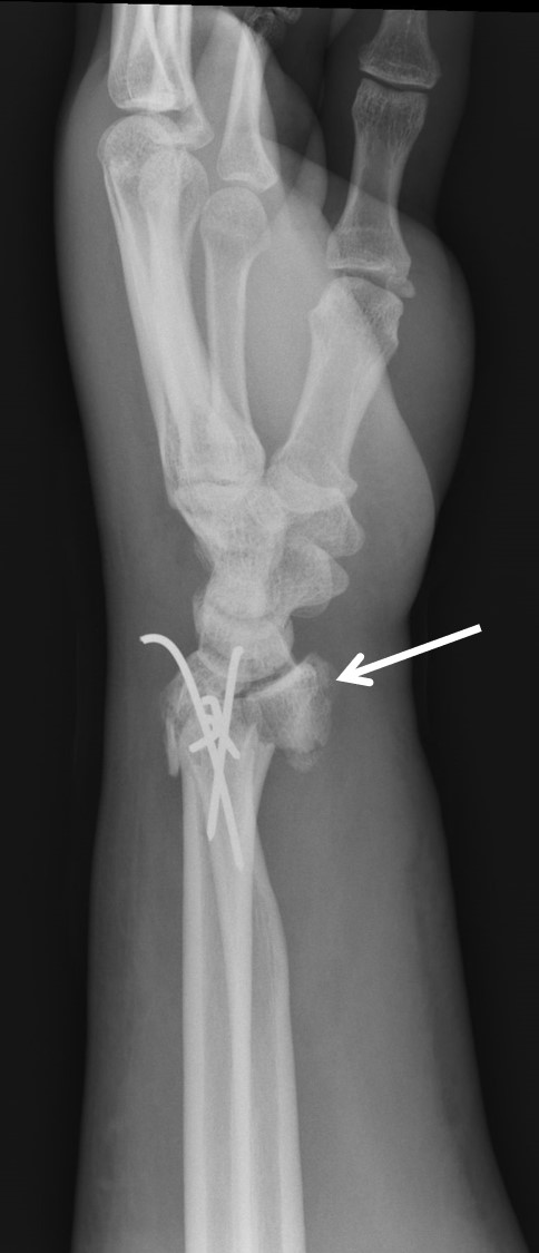
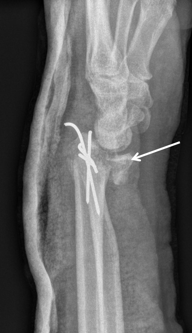
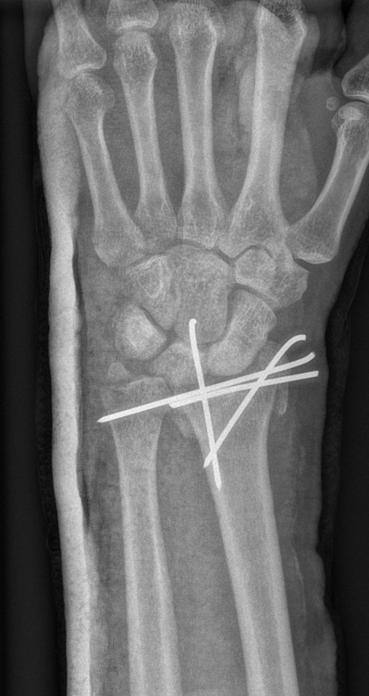
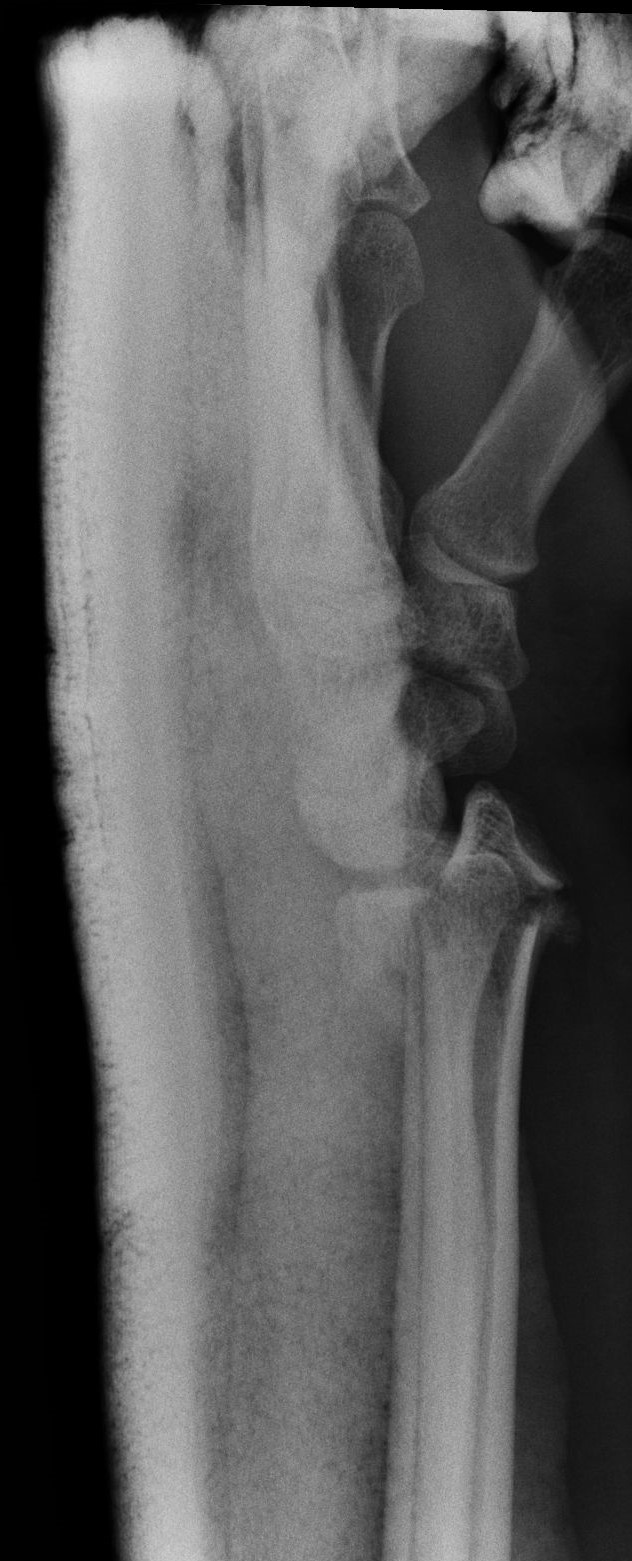
Treatment of neglected, displaced or united distal radial fractures (DRFs) is difficult, because it requires either wedging the almost consolidated fracture and reduction to the correct position, or cutting the united bone and putting it in the correct position (corrective osteotomy). Both treatments are associated with the risk of failure and complications. The paper presents a case of almost fully united DRF in a man, in whom 5 weeks after the injury, and after unsuccessful primary fixation with K-wires, the bone fragments were surgically wedged, aligned and fixed with a palmar plate. The result of treatment after 2 months was satisfactory. Early surgery allowed for a significant shortening of the recovery period and allowed the patient to return to work. 

Author Biographies

  • Andrzej Żyluk, Klinika Chirurgii Ogólnej i Chirurgii Ręki Pomorski Uniwersytet Medyczny w Szczecinie
    no
  • Bernard Piotuch, Klinika Chirurgii Ogólnej i Chirurgii Ręki, Pomorski Uniwersytet Medyczny w Szczecinie.
    no

References

Rundgren J, Bojan A, Mellstrand Navarro C, Enocson A. Epidemiology, classification, treatment and mortality of distal radius fractures in adults: an observational study of 23,394 fractures from the national Swedish fracture register. BMC Musculoskelet Disord 2020;21(1):88. doi: 10.1186/s12891-020-3097-8.

Żyluk A, Janowski P, Szlosser Z, Puchalski P. Percutaneous K-wires vs palmar locking plate fixation for different types of distal radial fractures: a comparison of the outcomes of two methods to controll our guidelines. Handchir Mikrochir Plast Chir 2018;50(5):319-25. doi: 10.1055/a-0751-2886.

Bell JA, James NF, Mauck BM, Calandruccio JH, Weller WJ. The pitfalls of difficult distal radius fractures and provisional reduction. Orthop Clin North Am 2024;55(1):113-22. doi: 10.1016/j.ocl.2023.05.012.

Skała K, Żyluk A. Health-related quality of life after fractures of the distal radius: a review of literature. Pol Orthop Traumatol 2013;78:183-6.

Weil YA, Mosheiff R, Firman S, Liebergall M, Khoury A. Outcome of delayed primary internal fixation of distal radius fractures: a comparative study. Injury 2014;45(6):960-4. doi: 10.1016/j.injury.2014.02.011.

Howard M, Curtis A, Everett S, Harries L, Donaldson O, Sheridan B. Does a delay in surgery for distal radial fractures affect patient outcome? J Hand Surg Eur Vol 2021;46(1):69-74. doi: 10.1177/1753193420941319.

Keçeci T, Karagöz B, Ağır İ. Effectiveness of delayed surgical treatment for distal radius fractures with loss of reduction. J Hand Surg Am 2024:S0363-5023(24)00312-5. doi: 10.1016/j.jhsa.2024.07.006.

Nowak LL, Moktar J, Henry P, Dejong T, McKee MD, Schemitsch EH. Delayed fixation of distal radial fractures beyond three weeks after initial failed closed reduction increases the odds of reoperation. Bone Joint J 2024;106-B(11):1257-62. doi: 10.1302/0301-620X.106B11.BJJ-2023-1349.R1.

Julian KR, Truong NM, Leversedge C, Kwong JW, Rosinski A, Kamal RN, et al. Does time to surgery for distal radius fractures impact clinical and radiographic outcomes? A systematic literature review. Curr Orthop Pract 2023;34(5):229-35.

Downloads

Published

2025-09-16

Most read articles by the same author(s)

1 2 3 4 5 6 7 8 > >>