Not only endoscopic third ventriculostomy – management of aqueductal stenosis associated with pathologies of the pineal region

Authors

DOI:

https://doi.org/10.21164/pomjlifesci.918

Keywords:

pineal gland, pineal gland apoplexy, pineal gland tumor, endoscopic third ventriculostomy

Abstract

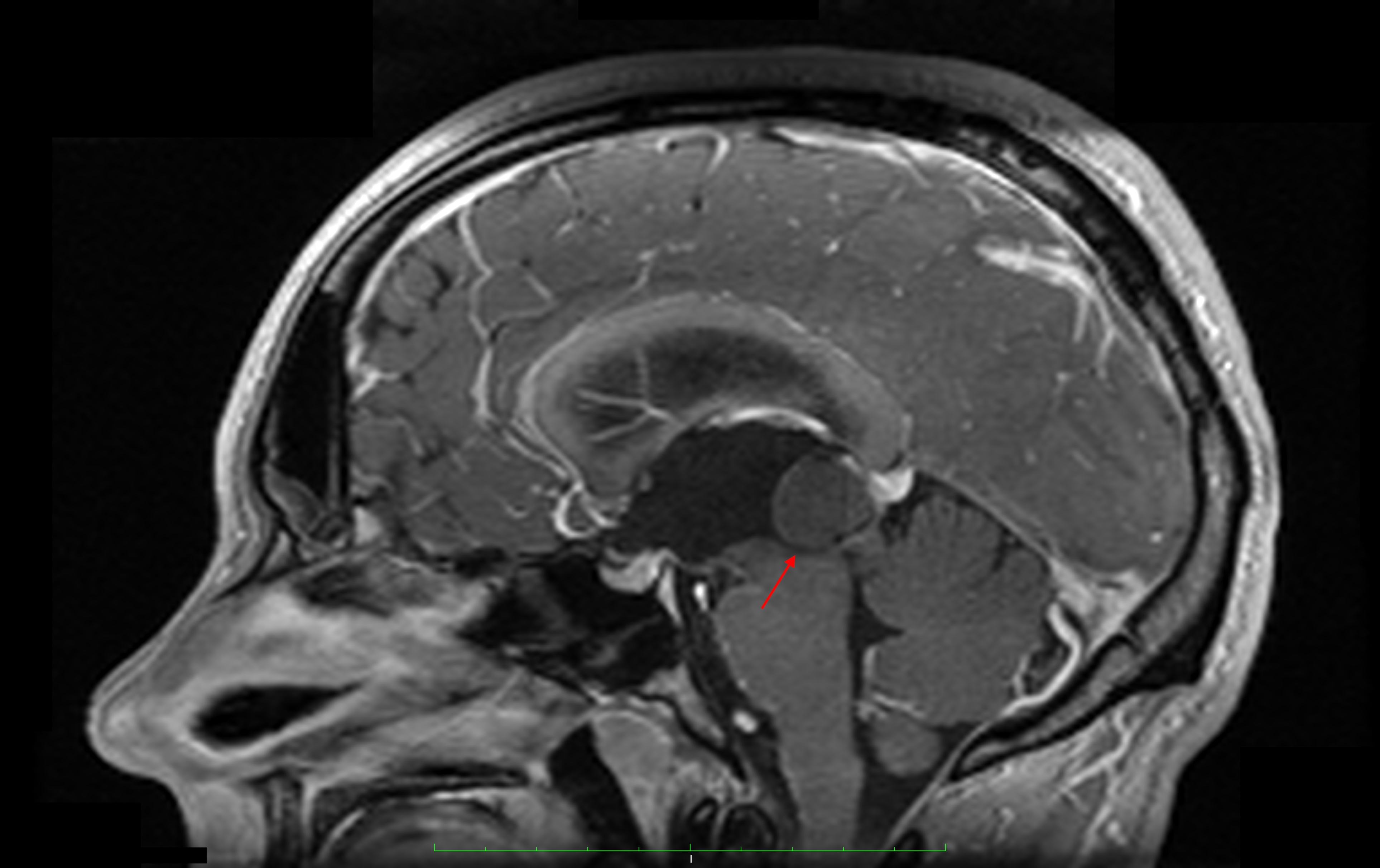
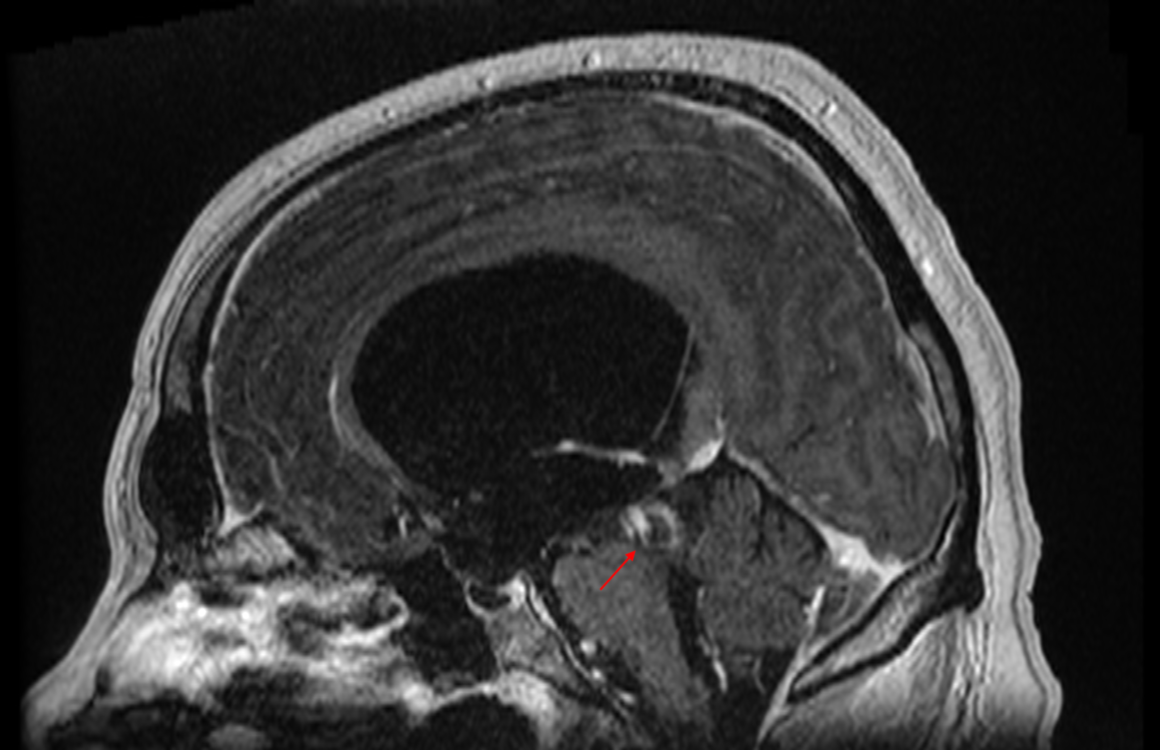
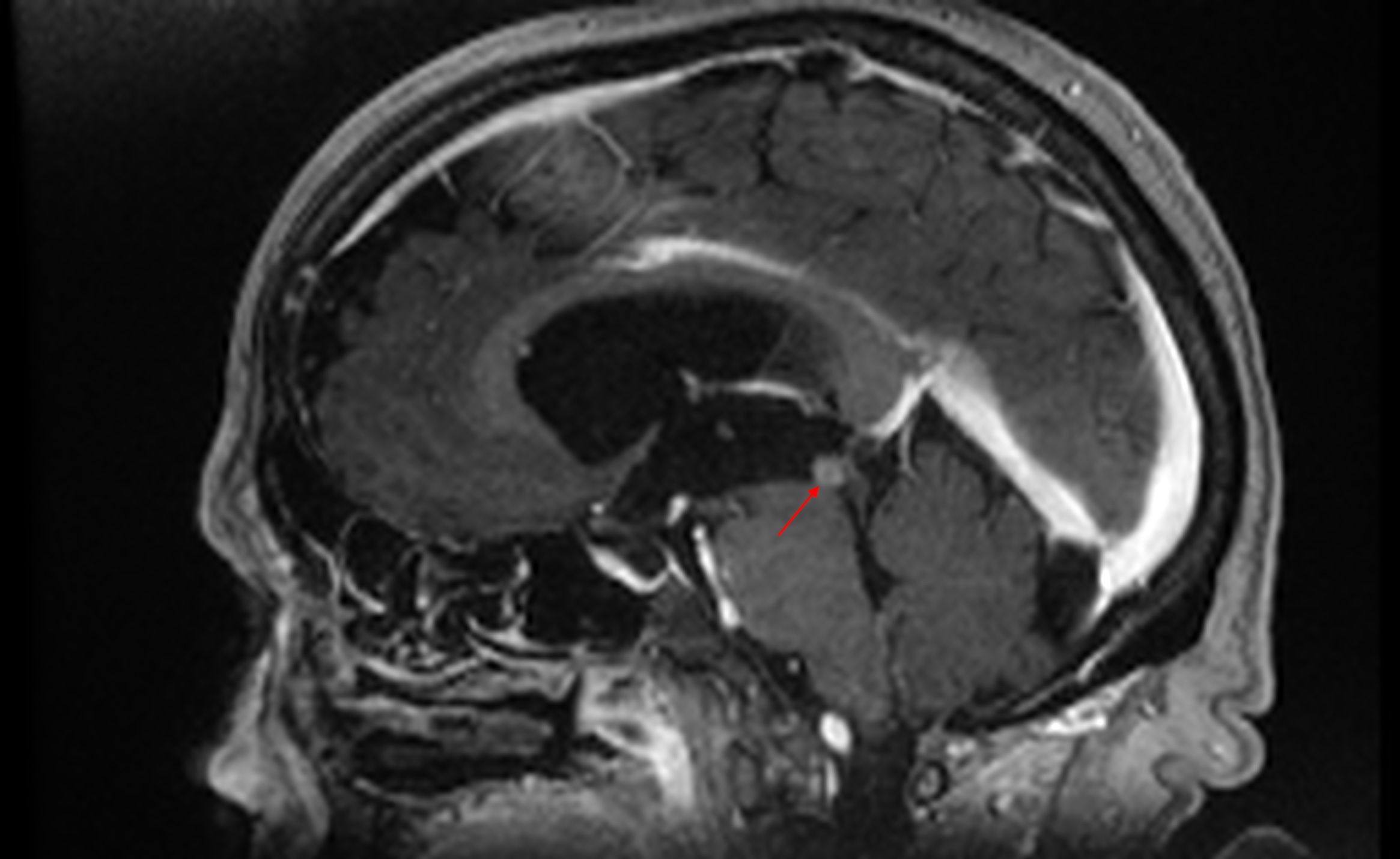
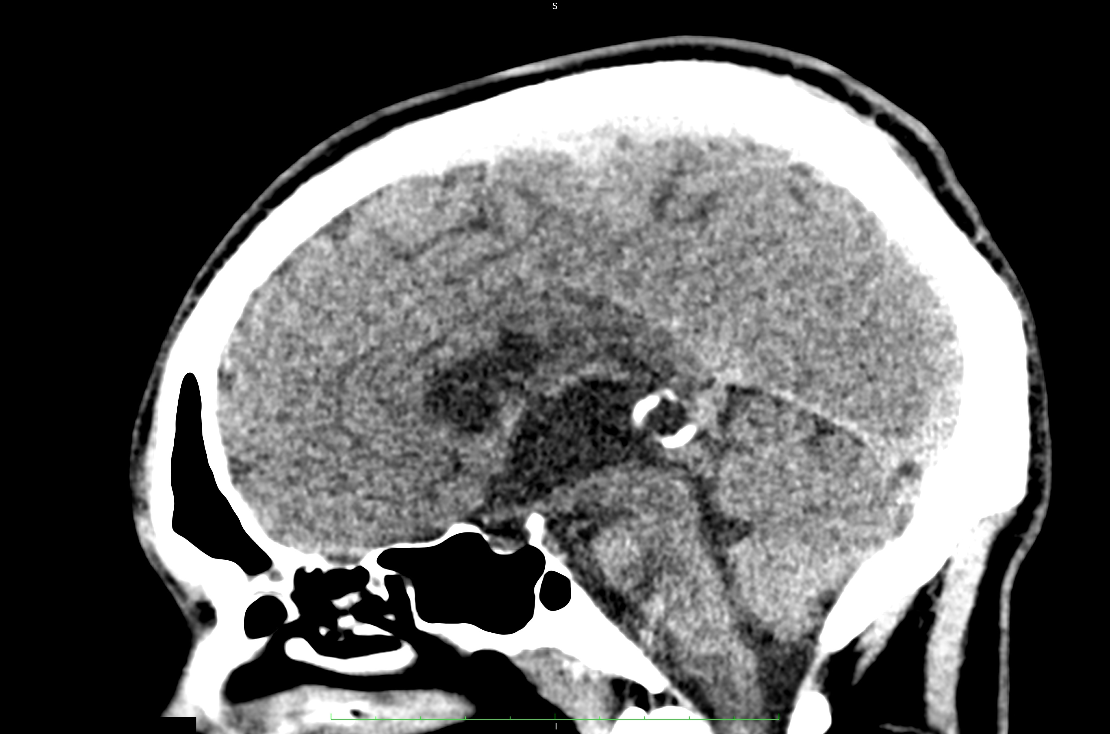
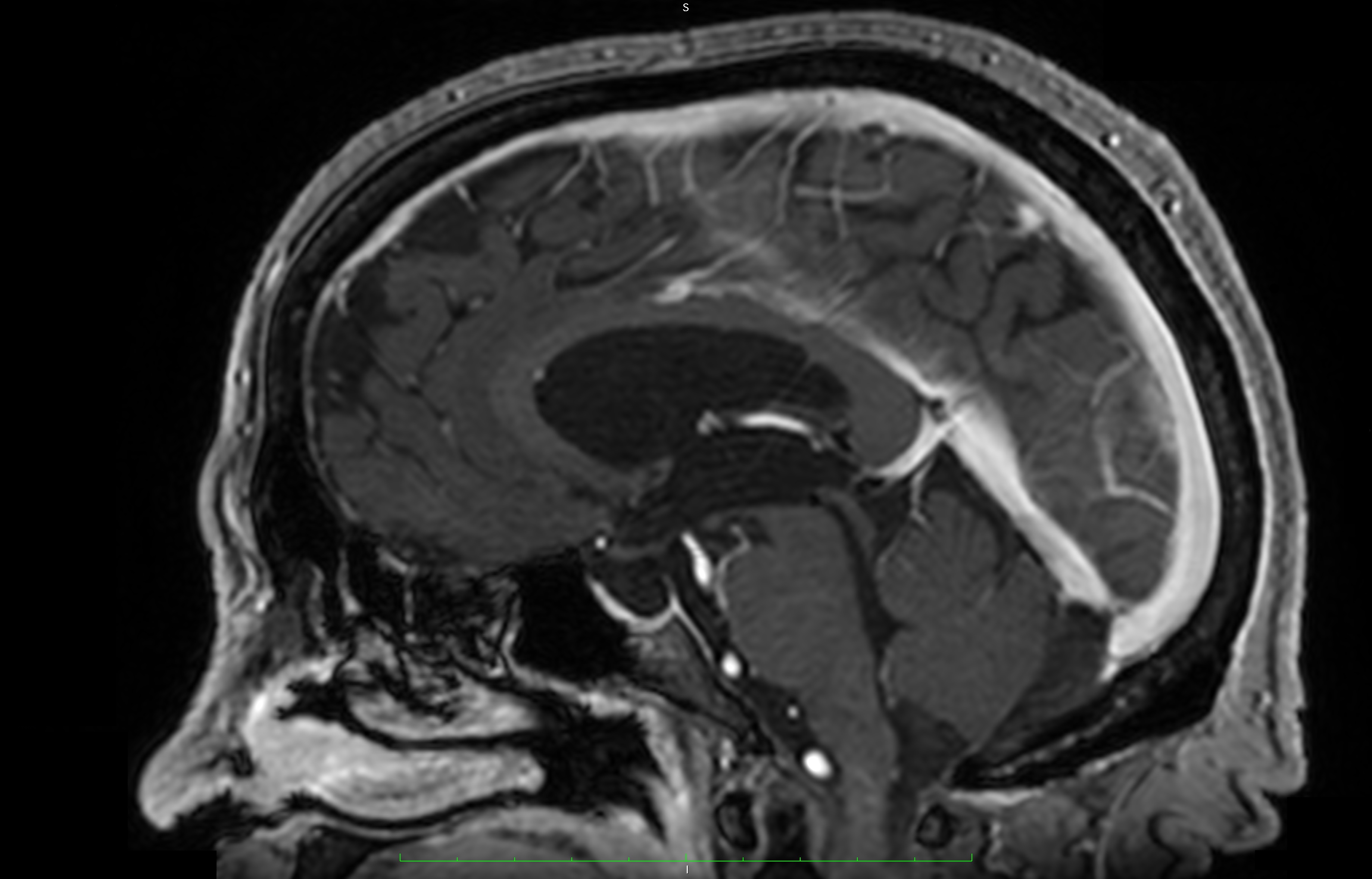
Pathologies of the pineal gland region are frequently encountered in daily neurosurgical practice. It is important to remember that, besides usually asymptomatic pineal gland cysts, neoplasms of a different origin may also occur in this region. The rarity of the most dangerous lesions – pineal gland apoplexy and pineal tumors – might cause problems with proper diagnosis and treatment. Their occurrence is commonly associated with symptomatic hydrocephalus caused by aqueductal stenosis. Currently, in such cases, endoscopic procedures, including endoscopic third ventriculostomy (ETV), are commonly and widely chosen as treatment options. Endoscopic procedures not only enable decompression of hydrocephalus but also further diagnosis of its cause. Herein, we present 3 case reports of endoscopic treatment with ETV performed in patients with hydrocephalus related to pineal region pathologies.

Downloads

Download data is not yet available.

References

Al-Holou WN, Garton HJL, Muraszko KM, Ibrahim M, Maher CO. Prevalence of pineal cysts in children and young adults. Clinical article. J Neurosurg Pediatr 2009;4(3):230-6. doi: 10.3171/2009.4.PEDS0951.

Starke RM, Cappuzzo JM, Erickson NJ, Sherman JH. Pineal cysts and other pineal region malignancies: Determining factors predictive of hydrocephalus and malignancy. J Neurosurg 2017;127(2):249-54. doi: 10.3171/2016.8.JNS16220.

Al-Hussaini M, Sultan I, Abuirmileh N, Jaradat I, Qaddoumi I. Pineal gland tumors: experience from the SEER database. J Neurooncol 2009;94(3):351-8. doi: 10.1007/s11060-009-9881-9.

Vuong HG, Ngo TNM, Dunn IF. Incidence, prognostic factors, and survival trend in pineal gland tumors: a population-based analysis. Front Oncol 2021;11:780173. doi: 10.3389/fonc.2021.780173.

Davidson L. Endoscopic management of pineal cyst-associated aqueductal stenosis. Acta Neurochir (Wien) 2020;162(12):2975-82. doi: 10.1007/s00701-020-04419-1.

Costa F, Fornari M, Valla P, Servello D. Symptomatic pineal cyst: case report and review of the literature. Minim Invasive Neurosurg 2008;51(4):231-3.

Williams MA, Nagel SJ, Luciano MG, Relkin N, Zwimpfer TJ, Katzen H, et al. The clinical spectrum of hydrocephalus in adults: report of the first 517 patients of the Adult Hydrocephalus Clinical Research Network registry. J Neurosurg 2019;132(6):1773-84. doi: 10.3171/2019.2.JNS183538.

Sarikaya-Seiwert S, Turowski B, Hänggi D, Janssen G, Steiger HJ, Stummer W. Symptomatic intracystic hemorrhage in pineal cysts: report of 3 cases. J Neurosurg Pediatr 2009;4(2):130-6. doi: 10.3171/2009.4.PEDS08309.

Apuzzo ML, Davey LM, Manuelidis EE. Pineal apoplexy associated with anticoagulant therapy. Case report. J Neurosurg 1976;45(2):223-6. doi: 10.3171/jns.1976.45.2.0223.

Avery GJ, Lind CR, Bok APL. Successful conservative operative management of pineal apoplexy. J Clin Neurosci 2004;11(6):667-9. doi: 10.1016/j.jocn.2003.11.009.

Werder GM, Razdan RS, Gagliardi JA, Chaddha SKB. Conservatively managed pineal apoplexy in an anticoagulated patient. Radiography 2008;14(1):69-72. doi: 10.1016/j.radi.2006.08.003.

Richardson JK, Hirsch CS. Sudden, unexpected death due to “pineal apoplexy”. Am J Forensic Med Pathol 1986;7(1):64-8. doi: 10.1097/00000433-198603000-00014.

Mena H, Armonda RA, Ribas JL, Ondra SL, Rushing EJ. Nonneoplastic pineal cysts: a clinicopathologic study of twenty-one cases. Ann Diagn Pathol 1997;1(1):11-8. doi: 10.1016/s1092-9134(97)80004-4.

Barboriak DP, Lee L, Provenzale JM. Serial MR imaging of pineal cysts: implications for natural history and follow-up. AJR Am J Roentgenol 2001;176(3):737-43. doi: 10.2214/ajr.176.3.1760737.

Regis J, Bouillot P, Rouby-Volot F, Figarella-Branger D, Dufour H, Peragut JC. Pineal region tumors and the role of stereotactic biopsy: re-view of the mortality, morbidity, and diagnostic rates in 370 cases. Neurosurgery 1996;39(5):907-12. doi: 10.1097/00006123-199611000-00003.

Yadav YR, Parihar V, Pande S, Namdev H, Agarwal M. Endoscopic third ventriculostomy. J Neurosci Rural Pract 2012;3(2):163-73. doi: 10.4103/0976-3147.98222.

Deopujari CE, Karmarkar VS, Shaikh ST. Endoscopic third ventriculostomy: success and failure. J Korean Neurosurg Soc 2017;60(3):306-14. doi: 10.3340/jkns.2017.0202.013.

Demerdash A, Rocque BG, Johnston J, Rozzelle CJ, Yalcin B, Oskouian R, et al. Endoscopic third ventriculostomy: a historical review. Br J Neurosurg 2017;31(1):28-32. doi: 10.1080/02688697.2016.1245848.

Downloads

Published

2023-06-29

Most read articles by the same author(s)