A misdiagnosed case of cancer leading to delayed HIV diagnosis and B-cell lymphoma: a lesson on the importance of timely HIV testing

Autor

DOI:

https://doi.org/10.21164/pomjlifesci.969

Słowa kluczowe:

human immunodeficiency virus (HIV), malignancy, diffuse large B-cell lymphoma (DLBCL), acquired immunodeficiency syndrome (AIDS), lung cancer

Abstrakt

Introduction: This case report describes a serious complication of delayed human immunodeficiency virus (HIV) diagnosis in a patient initially misdiagnosed with palliative-stage cancer and subsequently diagnosed with B-cell lymphoma. This situation highlights the diagnostic challenges and treatment implications following HIV diagnosis, and underscores the critical importance of accurate and timely HIV detection in oncology patients.
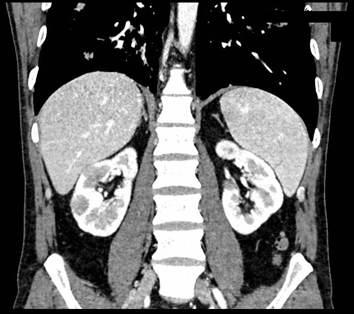
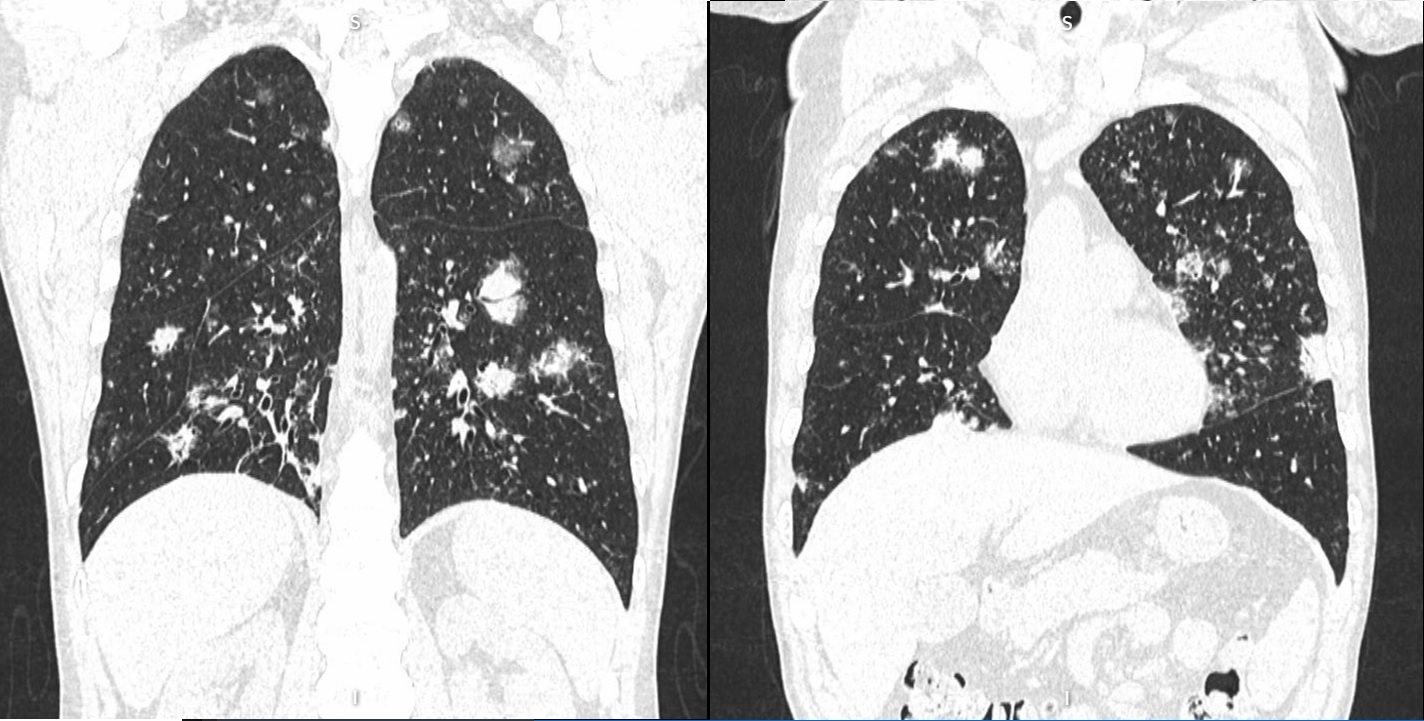
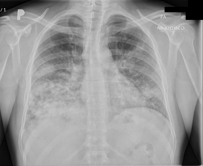
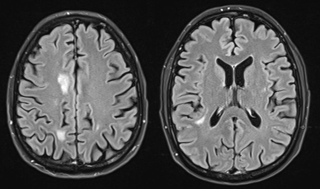
Case presentation: A 39-year-old man was initially diagnosed with lung cancer based on computed tomography and histopathologic findings. He was treated with 2 lines of chemotherapy over an 8-month period, the neoplastic lung lesions progressed, and he was referred to palliative care. Two years after his initial diagnosis, during the management of an actively bleeding gastric tumor, he was diagnosed with HIV and referred to an infectious disease unit. Immediate antiretroviral treatment was initiated after diagnosis, and further evaluation confirmed the presence of B-cell lymphoma. A retrospective review suggested that the initial cancer diagnosis was likely misinterpreted and was in fact lymphoma, a malignancy commonly associated with HIV. Lymphoma treatment was initiated, and after 1 year, the patient achieved HIV-1 virologic suppression and near-complete remission of all lesions.
Conclusions: This case highlights the consequences of delayed HIV diagnosis, which can significantly alter treatment course and patient prognosis. The initial misdiagnosis of cancer and subsequent ineffective treatment highlights the importance of HIV testing, particularly in patients presenting with malignancy. It also highlights the role of multidisciplinary collaboration, the need for prompt initiation of antiretroviral therapy, and the efficacy of targeted anticancer therapies for HIV-associated malignancies.

Pobrania

Statystyki pobrań niedostępne.

Bibliografia

Branson B. Current HIV epidemiology and revised recommendations for HIV testing in health-care settings. J Med Virol 2007;79 Suppl 1:S6-10.

Cohen MS, Chen YQ, McCauley M, Gamble T, Hosseinipour MC, Kumarasamy N, et al. Prevention of HIV-1 infection with early antiretroviral therapy. N Engl J Med 2011;365(6):493-505.

Tucker JD, Bien CH, Peeling RW. Point-of-care testing for sexually transmitted infections: recent advances and implications for disease control. Curr Opin Infect Dis 2013;26(1):73-9.

Parczewski M, Rockstroh JK. Late HIV diagnosis: Where we stand and the way forward. HIV Med 2022;23(11):1115-7.

Palella FJ Jr, Delaney KM, Moorman AC, Loveless MO, Fuhrer J, Satten GA, et al. Declining morbidity and mortality among patients with advanced human immunodeficiency virus infection. HIV Outpatient Study Investigators. N Engl J Med 1998;338(13):853-60.

Guidelines on HIV Self-Testing and Partner Notification: Supplement to Consolidated Guidelines on HIV Testing Services. Geneva: World Health Organization; 2016.

EACS Guidelines 2022. https://www.eacsociety.org/media/guidelines-11.1_final_09-10.pdf (21.05.2023).

Polish AIDS Society Recommendations. https://www.ptnaids.pl/index.php?option=com_content&view=article&id=20%3Arekomendacje-polskiego-towarzystwa-naukowego-aids&catid=14%3Arekomendacje&Itemid=24&lang=en (3.12.2023).

Bull L, Rayment M. HIV-indicator-condition-driven HIV testing: clinically effective but still rarely implemented. Clin Med (Lond) 2016;16(2):175-9.

HIV/AIDS surveillance in Europe 2015. European Centre for Disease Prevention and Control. https://www.ecdc.europa.eu/en/publications-data/hivaids-surveillance-europe-2015 (18.06.2023).

Suchacz MM, Krankowska D, Cybula A, Kamerys J, Jabłonowska E, Rozpłochowski B, et al. Delayed HIV diagnosis during the COVID-19 pandemic in Poland: A call for targeted HIV testing for those under suspicion of SARS-CoV-2. HIV Med 2022;23(11):1173-83.

Kostaki EG, Limnaios S, Adamis G, Xylomenos G, Chini M, Mangafas N, et al. Estimation of the determinants for HIV late presentation using the traditional definition and molecular clock-inferred dates: Evidence that older age, heterosexual risk group and more recent diagnosis are prognostic factors. HIV Med 2022;23(11):1143-52.

Gopal S, Patel MR, Yanik EL, Cole SR, Achenbach CJ, Napravnik S, et al. Temporal trends in presentation and survival for HIV-associated lymphoma in the antiretroviral therapy era. J Natl Cancer Inst 2013;105(16):1221-9.

Besson C, Goubar A, Gabarre J, Rozenbaum W, Pialoux G, Châtelet FP, et al. Changes in AIDS-related lymphoma since the era of highly active antiretroviral therapy. Blood 2001;98(8):2339-44.

Castillo JJ, Bibas M, Miranda RN. The biology and treatment of plasmablastic lymphoma. Blood 2015;125(15):2323-30.

Powles T, Imami N, Nelson M, Gazzard BG, Bower M. Effects of combination chemotherapy and highly active antiretroviral therapy on immune parameters in HIV-1 associated lymphoma. AIDS 2002;16(4):531-6.

Barta SK, Xue X, Wang D, Tamari R, Lee JY, Mounier N, et al. Treatment factors affecting outcomes in HIV-associated non-Hodgkin lymphomas: a pooled analysis of 1546 patients. Blood 2013;122(19):3251-62.

Mounier N, Spina M, Gabarre J, Raphael M, Rizzardini G, Golfier JB, et al. AIDS-related non-Hodgkin lymphoma: final analysis of 485 patients treated with risk-adapted intensive chemotherapy. Blood 2006;107(10):3832-40.

Grulich AE, van Leeuwen MT, Falster MO, Vajdic CM. Incidence of cancers in people with HIV/AIDS compared with immunosuppressed transplant recipients: a meta-analysis. Lancet 2007;370(9581):59-67.

Kirwan PD, Croxford S, Aghaizu A, Murphy G, Tosswill J, Brown AE, et al. Re-assessing the late HIV diagnosis surveillance definition in the era of increased and frequent testing. HIV Med 2022;23(11):1127-42.

Aksak-Wąs BJ, Urbańska A, Leszczyszyn-Pynka M, Chober D, Parczewski M. Clinical parameters, selected HLA and chemokine gene variants associated with late presentation into care of people living with HIV/AIDS. Infect Genet Evol 2022;97:105180.

Mocroft A, Lundgren J, Sabin ML, Monforte Ad, Brockmeyer N, Casabona J, et al. Risk factors and outcomes for late presentation for HIV-positive persons in Europe: results from the Collaboration of Observational HIV Epidemiological Research Europe Study (COHERE). PLoS Med 2013;10(9):e1001510.

Jabłonowska E, Szetela B, Bielecki M, Horban A, Bociąga-Jasik M, Mularska E, et al. Acquired immune deficiency syndrome (AIDS) and late presentation in Poland – data from Test and Keep in Care (TAK) Polska project. HIV Med 2021;22(5):387-96.

Aksak-Wąs BJ, Urbańska A, Scheibe K, Serwin K, Leszczyszyn-Pynka M, Rafalska-Kosior M, et al. Factors influencing immune restoration in people living with HIV/AIDS. J Clin Med 2022;11(7):1887.

Aksak-Wąs BJ, Kowalska JD, Ząbek P, Serwin K, Rafalska-Kosior M, Gołąb J, et al. Immune restoration affects 10-year survival in people living with HIV/AIDS. HIV Med 2023;24(3):325-34.

Yarchoan R, Uldrick TS. HIV-associated cancers and related diseases. N Engl J Med 2018;378(11):1029-41.

Berhan A, Bayleyegn B, Getaneh Z. HIV/AIDS associated lymphoma: Review. Blood Lymphat Cancer 2022;12:31-45.

Antinori A, Cingolani A, Alba L, Ammassari A, Serraino D, Palmieri F, et al. Better response to chemotherapy and prolonged survival in AIDS-related lymphomas responding to highly active antiretroviral therapy. AIDS 2001;15(12):1483-91.

Engels EA, Biggar RJ, Hall HI, Cross H, Crutchfield A, Finch JL, et al. Cancer risk in people infected with human immunodeficiency virus in the United States. Int J Cancer 2008;123(1):187-94.

Clifford GM, Polesel J, Rickenbach M, Dal Maso L, Keiser O, Kofler A, et al. Cancer risk in the Swiss HIV Cohort Study: associations with immunodeficiency, smoking, and highly active antiretroviral therapy. J Natl Cancer Inst 2005;97(6):425-32.

Pliki dodatkowe

Opublikowane

2024-03-29

Inne teksty tego samego autora