Interposition of the index flexor digitorum superficialis tendon beneath a fragment of the distal radius fracture: a case report

Autor

  • Ilya Kuryha Klinika Chirurgii Ogolnej i Chirurgii Ręki Pomorski Uniwersytet Medyczny w Szczecinie
  • Bernard Stanisław Piotuch Klinika Chirurgii Ogólnej i Chirurgii Ręki, Pomorski Uniwersytet Medyczny w Szczecinie.

DOI:

https://doi.org/10.21164/pomjlifesci.1152

Słowa kluczowe:

comminuted distal radius fracture, flexor tendon interposition, surgical treatment

Abstrakt

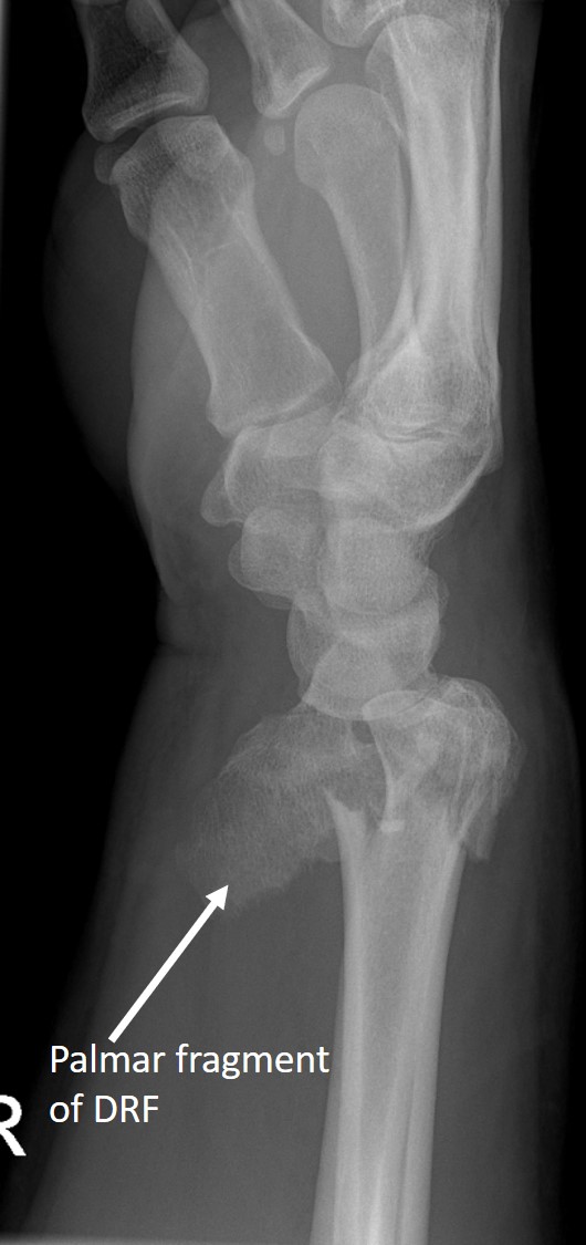
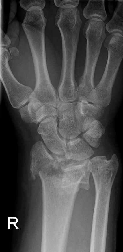
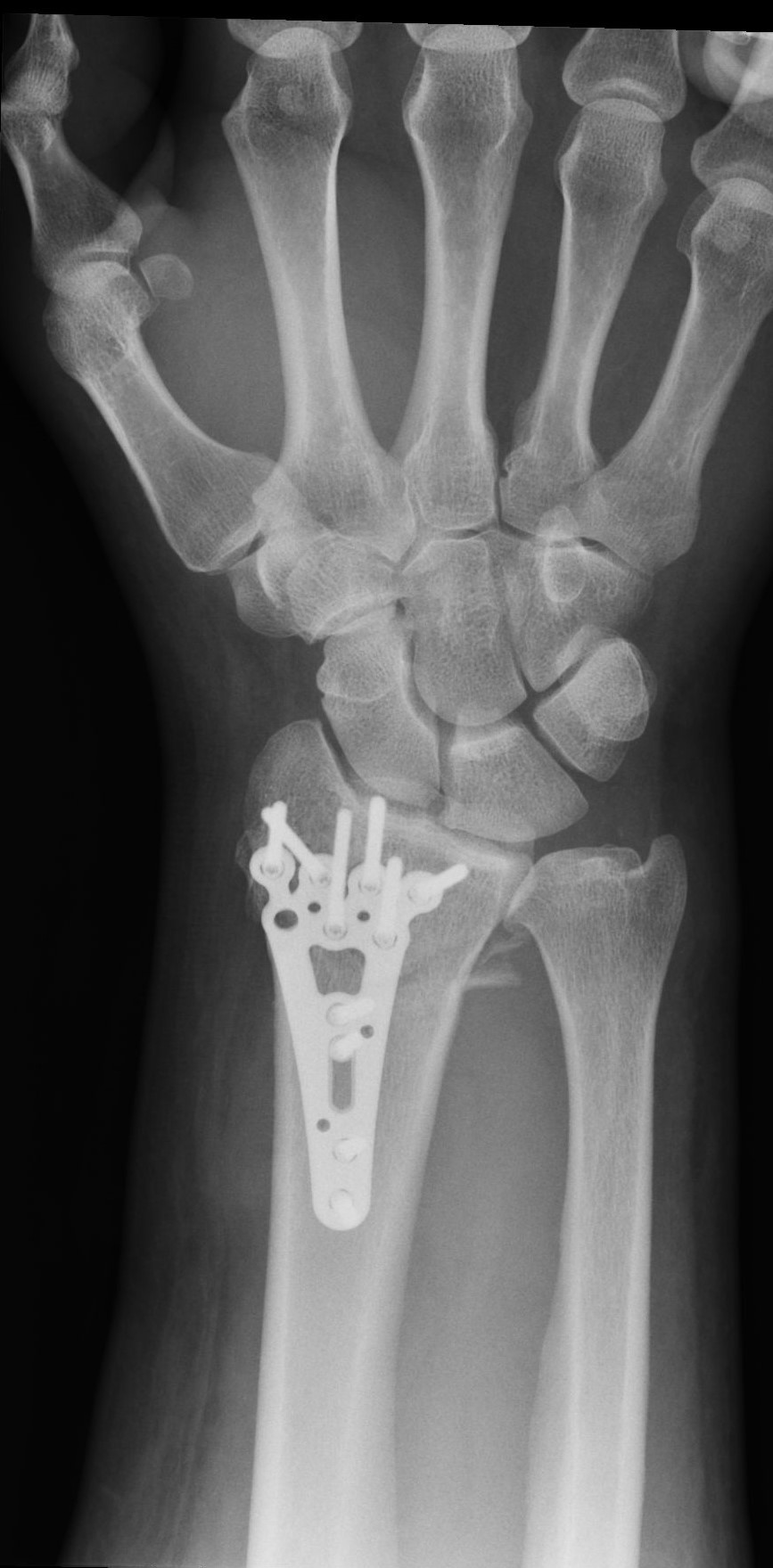
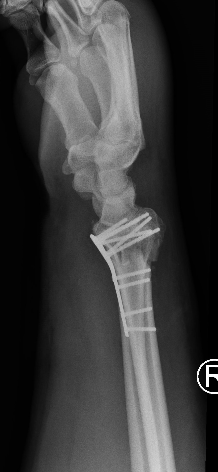
High-energy distal radius fractures are characterized by significant displacement of bone fragments, articular surface damage, and ligamentous injury. Tendon interposition between bone fragments occurs very rarely. In this report, we present a case of a complex distal radius fracture in which intraoperative findings revealed interposition of the flexor digitorum superficialis tendon of the index finger beneath one of the fracture fragments. The exceptional rarity of this situation prompted the authors to report this case.

Pobrania

Statystyki pobrań niedostępne.

Bibliografia

Rundgren J, Bojan A, Mellstrand Navarro C, Enocson A. Epidemiology, classification, treatment and mortality of distal radius fractures in adults: an observational study of 23,394 fractures from the national Swedish fracture register. BMC Musculoskelet Disord 2020;21(1):88. doi: 10.1186/s12891-020-3097-8.

Nellans KW, Kowalski E, Chung KC. The epidemiology of distal radius fractures. Hand Clin 2012;28(2):113-25.

Żyluk A. Złamania dalszego końca kości promieniowej. Warszawa: Medipage; 2020.

Piotuch B, Puchalski P, Żyluk A. Entrapment of the extensor indicis proprius tendon in the callus after a distal radial fracture. J Hand Surg Eur Vol 2015;40(5):541-2.

Watson PA, Blair W. Entrapment of the index flexor digitorum profundus tendon after fracture of both forearm bones in a child. Iowa Orthop J 1999;19:127-8.

Akita S, Kawai H. Entrapment of the flexor digitorum superficial in the radius fracture site. J Hand Surg Am 2005;30(2):308-11. doi: 10.1016/j.jhsa.2004.09.011.

Thione A, Cavadas PC, Rubi CG. Entrapment of the flexor digitorum profundus in the callus after a closed distal radial fracture. Plast Reconstr Surg Glob Open 2016;4(4):e687. doi: 10.1097/GOX.0000000000000674.

Toga A, Balaji A, Matsumoto T, Fujimaru A, Murakami H, Katoh S. Flexor tendon entrapment of the index finger after Monteggia fracture in a pediatric patient. Orthop Res Rev 2020;12:189-93.

Pliki dodatkowe

Opublikowane

2025-12-17

Inne teksty tego samego autora