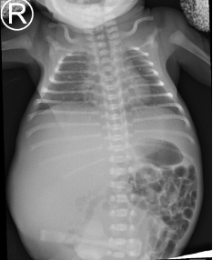
Previable preterm premature rupture of membrane at the 19th week of gestation in a pregnancy complicated by a multicystic dysplastic kidney of the fetus – a case report

Authors

DOI:

https://doi.org/10.21164/pomjlifesci.967

Keywords:

preterm labor, preterm premature rupture of membranes, surgical treatment, complications, multicystic dysplastic kidney

Abstract

Preterm premature rupture of membranes (pPROM) before 22–24 weeks of gestation is considered previable and poses a high risk to the chances of successful delivery. Multicystic dysplastic kidney (MCDK) is the most common form of dysplasia of this organ, usually affecting 1 kidney. A prenatal suspicion of MCDK requires escalation of the clinical process to a reference center qualified and equipped for further diagnosis and treatment. We present a unique case of prenatal pPROM at 19 weeks of gestation in a pregnancy complicated by fetal MCDK as an interesting obstetric and neonatal patient story. We have not found any published evidence on the impact of coexisting fetal congenital malformations on a pregnancy affected by previable pPROM.
The aim of this study is to highlight the importance of a multidisciplinary team approach in the management of previable pPROM and the difficulties of decision-making involving both health professionals and the mother. Initially, medical management focuses on the safety of the mother, and as the fetus reaches viability, the focus shifts to the high standard of care for the child. The final successful outcome and follow-up was the effect of coordinated prenatal and postnatal medical care.

Downloads

Download data is not yet available.

References

Prelabor Rupture of Membranes: ACOG Practice Bulletin, Number 217. Obstet Gynecol 2020;135(3):e80-97.

Ronzoni S, Boucoiran I, Yudin MH, Coolen J, Pylypjuk C, Melamed M, et al. Guideline No. 430: Diagnosis and management of preterm prelabour rupture of membranes. J Obstet Gynaecol Can 2022;44(11):1193-208.e1.

Feduniw S, Gaca Z, Malinowska O, Brunets W, Zgliczyńska M, Włodarczyk M, et al. The Management of Pregnancy Complicated with the Previable Preterm and Preterm Premature Rupture of the Membranes: What about a Limit of Neonatal Viability? A Review. Diagnostics (Basel.) 2022;12(8):2025.

Winding L, Loane M, Wellesley D, Addor MC, Arriola L, Bakker MK, et al. Prenatal diagnosis and epidemiology of multicystic kidney dysplasia in Europe. Prenat Diagn 2014;34(11):1093-8.

Hains DS, Bates CM, Ingraham S, Schwaderer AL. Management and etiology of the unilateral multicystic dysplastic kidney: a review. Pediatr Nephrol 2009;24(2):233-41.

Agut T, Alarcon A, Cabañas F, Bartocci M, Martinez-Biarge M, Horsch S, et al. Preterm white matter injury: ultrasound diagnosis and classification. Pediatr Res 2020;87(Suppl 1):37-49.

Caughey AB, Robinson JN, Norwitz ER. Contemporary diagnosis and management of preterm premature rupture of membranes. Rev Obstet Gynecol 2008;1(1):11-22.

Ramsey PS, Nuthalapaty FS, Lu G, Ramin S, Nuthalapaty ES, Ramin KD. Contemporary management of preterm premature rupture of membranes (PPROM): a survey of maternal-fetal medicine providers. Am J Obstet Gynecol 2004;191(4):1497-502.

LeMoine F, Moore RC, Chapple A, Moore FA, Sutton E. Neonatal Survivability following Previable PPROM after Hospital Readmission for Intervention. AJP Rep 2020;10(4):e395-402.

Chauleur C, Rochigneux S, Seffert P, Chene G, Billiemaz K, Collet F. Neonatal outcomes and four-year follow-up after spontaneous or iatrogenic preterm prelabor rupture of membranes before 24 weeks. Acta Obstet Gynecol Scand 2009;88(7):801-6.

Rutkowska M, Szczepaniak S, Walas W, Pawlik D, Karwacki M, Szeroczyńska M, et al. Zasady podejmowania decyzji o wszczęciu postępowania paliatywnego w neonatologii. In: Borszewska-Kornacka MK, Gulczyńska E, Helwich E, Królak-Olejnik B, Lauterbach R, Maruniak--Chudek I, et al., editors. Standardy opieki medycznej nad noworodkiem w Polsce 2021. Zalecenia Polskiego Towarzystwa Neonatologicznego. Warszawa: Media-Press; 2021. p. 24-45.

Test G, Levy A, Wiznitzer A, Mazor M, Holcberg G, Zlotnik A, et al. Factors affecting the latency period in patients with preterm premature rupture of membranes. Arch Gynecol Obstet 2011;283(4):707-10.

Sklar A, Sheeder J, Davis AR, Wilson C, Teal SB. Maternal morbidity after preterm premature rupture of membranes at <24 weeks’ gestation. Am J Obstet Gynecol 2022;226(4):558.e1-11.

Thomson AJ. Royal College of Obstetricians and Gynaecologists. Care of Women Presenting with Suspected Preterm Prelabour Rupture of Membranes from 24+0 Weeks of Gestation: Green-top Guideline No. 73. BJOG 2019;126(9):e152-66.

Preterm labour and birth. NICE guideline. National Institute for Health and Care Excellence. 2015. https://www.nice.org.uk/guidance/ng25/resources/preterm-labour-and-birth-pdf-1837333576645 (7.12.2022).

Carroll SG, Papaioannou S, Ntumazah IL, Philpott-Howard J, Nicolaides KH. Lower genital tract swabs in the prediction of intrauterine infection in preterm prelabour rupture of the membranes. Br J Obstet Gynaecol 1996;103(1):54-9.

Tchirikov M, Schlabritz-Loutsevitch N, Maher J, Buchmann J, Naberezhnev Y, Winarno AS, et al. Mid-trimester preterm premature rupture of membranes (PPROM): etiology, diagnosis, classification, international recommendations of treatment options and outcome. J Perinat Med 2018;46(5):465-88.

Carroll SG, Papiaoannou S, Nicolaides KH. Assessment of fetal activity and amniotic fluid volume in the prediction of intrauterine infection in preterm prelabor amniorrhexis. Am J Obstet Gynecol 1995;172(5):1427-35.

Bomba-Opoń D, Drews K, Huras H, Laudański P, Paszkowski T, Wielgoś M, et al. Rekomendacje Polskiego Towarzystwa Ginekologów i Położników dotyczące indukcji porodu. Aktualizacja 2021. Ginek Perinatol Prakt 2021;6(2):86-99.

Kenyon S, Boulvain M, Neilson JP. Antibiotics for preterm rupture of membranes. Cochrane Database Syst Rev 2013;(12):CD001058.

Mercer BM, Miodovnik M, Thurnau GR, Goldenberg RL, Das AF, Ramsey RD, et al. Antibiotic therapy for reduction of infant morbidity after preterm premature rupture of the membranes. A randomized controlled trial. National Institute of Child Health and Human Development Maternal-Fetal Medicine Units Network. JAMA 1997;278(12):989-95.

Fetal monitoring in labour. NICE guideline. National Institute for Health and Care Excellence. 2022. https://www.nice.org.uk/guidance/ng229/resources/fetal-monitoring-in-labour-pdf-66143844065221 (15.01.2022).

Simhan HN, Canavan TP. Preterm premature rupture of membranes: diagnosis, evaluation and management strategies. BJOG 2005;112 Suppl 1:32-7.

Harding JE, Pang J, Knight DB, Liggins GC. Do antenatal corticosteroids help in the setting of preterm rupture of membranes? Am J Obstet Gynecol 2001;184(2):131-9.

Belk RA, Thomas DF, Mueller RF, Godbole P, Markham AF, Weston MJ. A family study and the natural history of prenatally detected unilateral multicystic dysplastic kidney. J Urol 2002;167(2 Pt 1):666-9.

Feldenberg LR, Siegel NJ. Clinical course and outcome for children with multicystic dysplastic kidneys. Pediatr Nephrol 2000;14(12):1098-101.

Bonsib SM. The Classification of Renal Cystic Diseases and Other Congenital Malformations of the Kidney and Urinary Tract. Arch Pathol Lab Med 2010;134(4):554-68.

Riccabona M, editor. Pediatric urogenital radiology 3rd ed. Cham:Springer; 2018. p. 553-77.

Winding L, Loane M, Wellesley D, Addor MC, Arriola L, Bakker MK, et al. Prenatal diagnosis and epidemiology of multicystic kidney dysplasia in Europe. Prenat Diagn 2014;34(11):1093-8.

Chen TJ, Song R, Janssen A, Yosypiv IV. Cytogenomic aberrations in isolated multicystic dysplastic kidney in children. Pediatr Res 2022;91(3):659-64.

Damen-Elias HA, Stoutenbeek PH, Visser GH, Nikkels PG, de Jong TP. Concomitant anomalies in 100 children with unilateral multicystic kidney. Ultrasound Obstet Gynecol 2005;25(4):384-8.

Ji H, Dong SZ. Magnetic resonance imaging for evaluation of foetal multicystic dysplastic kidney. Eur J Radiol 2018;108:128-32.

Balasundaram M, Chock VY, Wu HY, Blumenfeld YJ, Hintz SR. Predictors of poor neonatal outcomes in prenatally diagnosed multicystic dysplastic kidney disease. J Perinatol 2018;38(6):658-64.

Colvin R, Chang A. Diagnostic Pathology: Kidney Diseases. 3rd ed. Philadelphia: Elsevier; 2019. p. 832-7.

Gilfillan M, Bhandari A, Bhandari V. Diagnosis and management of bronchopulmonary dysplasia. BMJ 2021;375:n1974.

Pettit S, Chalmers D. Neonatal multicystic dysplastic kidney with mass effect: A systematic review. J Pediatr Urol 2021;17(6):763-8.

Downloads

Published

2024-06-21

Most read articles by the same author(s)