Intussusception of the small bowel caused by submucosal lipoma: a case report

Authors

DOI:

https://doi.org/10.21164/pomjlifesci.1005

Keywords:

intussusception in adult, small bowel polyp, obstruction

Abstract

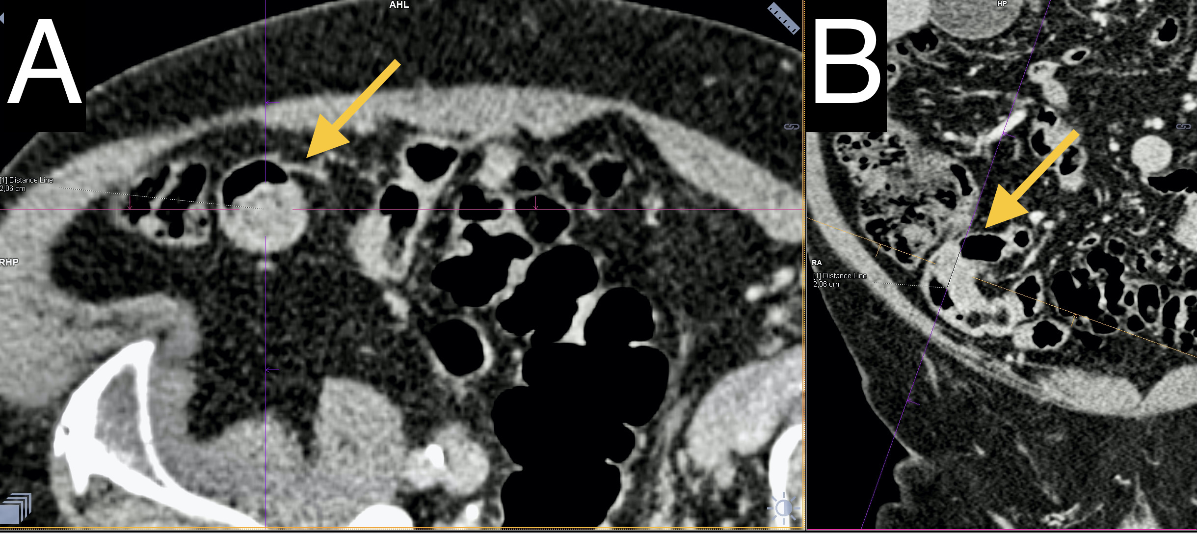
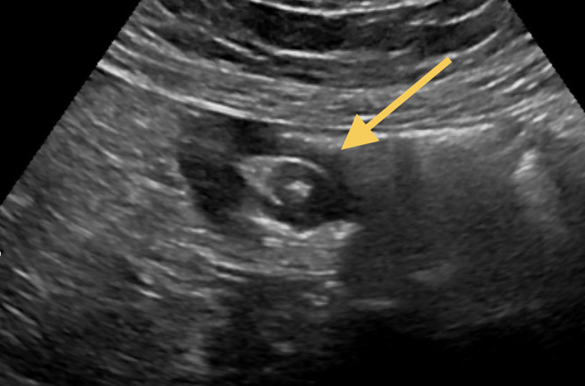
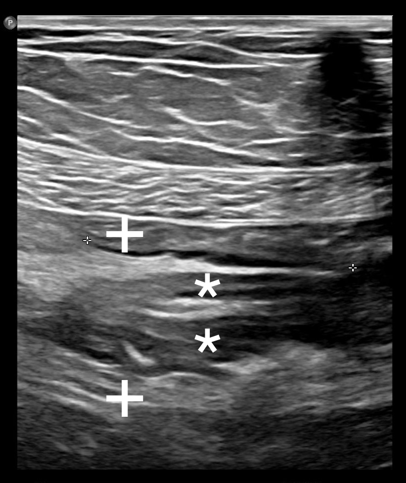
Intussusception of the small intestine occurs when one part of the intestine telescopes into another, causing ischemia and obstruction. This condition is rare in adults, with the most common cause being a benign tumor in the intestinal wall. This paper presents a case of ileal intussusception caused by a submucosal lipoma in the form of a polyp. The intussusception resulted in mild discomfort, and the diagnosis was established through ultrasound and computed tomography scans. Surgical treatment was performed, involving laparoscopic reduction of the intussusception, segmental resection of the intestine, and end-to-end anastomosis. The postoperative course was uneventful.

Downloads

Download data is not yet available.

References

Paskauskas S, Pavalkis D. Adult Intussusception. In: Lule G, editor. Current Concepts in Colonic Disorders. InTech; 2012. p. 1-22.

Eisen LK, Cunningham JD, Aufses AH Jr. Intussusception in adults: institutional review. J Am Coll Surg 1999;188(4):390-5.

Manouras A, Lagoudianakis EE, Dardamanis D, Tsekouras DK, Markogiannakis H, Genetzakis M, et al. Lipoma induced jejunojejunal intussusception. World J Gastroenterol 2007;13(26):3641-4.

Azar T, Berger DL. Adult intussusception. Ann Surg 1997;226(2):134-8.

Barussaud M, Regenet N, Briennon X, de Kerviler B, Pessaux P, Kohneh-Sharhi N, et al. Clinical spectrum and surgical approach of adult intussusceptions: a multicentric study. Int J Colorectal Dis 2006;21(8):834-9.

Erkan N, Hacıyanlı M, Yıldırım M, Sayhan H, Vardar E, Polat AF. Intussusception in adults: an unusual and challenging condition for surgeons. Int J Colorectal Dis 2005;20(5):452-6.

Paškauskas S, Latkauskas T, Valeikaitė G, Paršeliūnas A, Svagždys S, Saladžinskas Z, et al. Colonic intussusception caused by colonic lipoma: a case report. Medicina (Kaunas) 2010;46(7):477-81.

Weiss EG, McLemore EC. Functional disorders: rectoanal intussusception. Clin Colon Rectal Surg 2008;21(2):122-8.

Yakan S, Caliskan C, Makay O, Denecli AG, Korkut MA. Intussusception in adults: clinical characteristics, diagnosis and operative strategies. World J Gastroenterol 2009;15(16):1985-9.

Taylor B, Wolff BG. Colonic lipomas. Report of two unusual cases and review of the Mayo Clinic experience, 1976–1985. Dis Colon Rectum 1987;30(11):888-93.

Fang SH, Dong DJ, Chen FH, Jin M, Zhong BS. Small intestinal lipomas: Diagnostic value of multi-slice CT enterography. World J Gastroenterol 2010;16(21):2677-81.

Oyen TL, Wolthuis AM, Tollens T, Aelvoet C, Vanrijkel JP. Ileo-ileal intussusception secondary to a lipoma: a literature review. Acta Chir Belg 2007;107(1):60-3.

Namikawa T, Hokimoto N, Okabayashi T, Kumon M, Kobayashi M, Hanazaki K. Adult ileoileal intussusception induced by an ileal lipoma diagnosed preoperatively: report of a case and review of the literature. Surg Today 2012;42(7):686-92.

Downloads

Published

2024-12-24

Most read articles by the same author(s)