Severe craniocerebral injury after e-scooter accidents in winter

Authors

DOI:

https://doi.org/10.21164/pomjlifesci.899

Keywords:

electric scooters, road accidents, head injury, ICH

Abstract

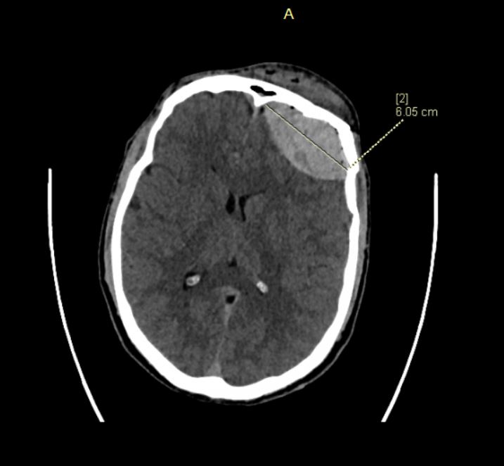
The increasing popularity of electric scooters in Poland is associated with the growing number of e-scooter-related accidents, which often involve head traumas. Although the most common types of injuries are abrasions and cuts to the skin, they sometimes include severe brain injuries. Most e-scooter accidents occur in the warm months. In winter, when there are unfavorable conditions for using this means of transport, e-scooter-related accidents are rare. Described in the text are 2 cases of severe cases of skull and brain injuries which required neurosurgical intervention. In both cases, the riders were under the influence of alcohol and did not use helmets, which had a measurable influence on the profile and the extent of injuries.

Downloads

Download data is not yet available.

References

Singh P, Jami M, Geller J, Granger C, Geaney L, Aiyer A. The impact of e-scooter injuries: a systematic review of 34 studies. Bone Jt Open 2022;3(9):674-83.

Bretones A, Marquet O. Sociopsychological factors associated with the adoption and usage of electric micromobility. A literature review. Transp Policy 2022;127(C):230-49.

Uluk D, Lindner T, Dahne M, Bickelmayer JW, Beyer K, Slagman A, et al. E-scooter incidents in Berlin: an evaluation of risk factors and injury patterns. Emerg Med J 2022;39(4):295-300.

Kowalczewska J, Rzepczyk S, Żaba C. E-scooters and the city – head to toe injuries. J Med Sci 2022;91(2);e672.

Traynor MD Jr, Lipsitz S, Schroeder TJ, Zielinski MD, Rivera M, Hernandez MC, et al. Association of scooter-related injury and hospitalization with electronic scooter sharing systems in the United States. Am J Surg 2022;223(4):780-6.

Toofany M, Mohsenian S, Shum LK, Chan H, Brubacher JR. Injury patterns and circumstances associated with electric scooter collisions: a scoping review. Inj Prev 2021;27(5):490-9.

Aizpuru M, Farley KX, Rojas JC, Crawford RS, Moore TJ Jr, Wagner ER. Motorized scooter injuries in the era of scooter-shares: A review of the national electronic surveillance system. Am J Emerg Med 2019;37(6):1133-8.

Rashed S, Vassiliou A, Barber J. Neurosurgical trauma from E-Scooter usage: a review of early case series in London and a review of the literature. Br J Neurosurg 2022;1-12.

Hoffeld K, Mair O, Wurm M, Zehnder P, Pförringer D, Biberthaler P, et al. Is the use of segways or e-scooters in urban areas a potential health risk? A comparison of trauma consequences. Medicina (Mex) 2022;58(8):1033.

Aulino G, Polacco M, Fattoruso V, Cittadini F. A cranio-encephalic trauma due to electric-scooter accident: could the wearing of a helmet reduce this risk? Forensic Sci Med Pathol 2022;18(3):264-8.

Suominen EN, Sajanti AJ, Silver EA, Koivunen V, Bondfolk AS, Koskimäki J, et al. Alcohol intoxication and lack of helmet use are common in electric scooter-related traumatic brain injuries: a consecutive patient series from a tertiary university hospital. Acta Neurochir (Wien) 2022;164(3):643-53.

Kim WC, Campbell AR. Common injury patterns from standing motorized scooter crashes. Curr Surg Rep 2021;9(4):8.

Thull-Freedman J, Caird JK. Injuries associated with e-scooter use in the City of Calgary: Canada joins an international conversation. CJEM 2022;24(7):675-6.

Smit RB, Graham DO, Erasmus J. E-scooter injuries referred to the oral and maxillofacial surgical service at Christchurch Hospital: a retrospective observational study and cost analysis of 17-months of data. Br J Oral Maxillofac Surg 2021;59(4):439-44.

Mathew JK, Liu M, Bullock DM. Impact of weather on shared electric scooter utilization. In: 2019 IEEE Intelligent Transportation Systems Conference (ITSC). Auckland, New Zealand: IEEE; 2019. p. 4512-6.

Yang H, Ma Q, Wang Z, Cai Q, Xie K, Yang D. Safety of micro-mobility: Analysis of E-Scooter crashes by mining news reports. Accid Anal Prev 2020;143:105608.

Dhillon NK, Juillard C, Barmparas G, Lin TL, Kim DY, Turay D, et al. Electric scooter injury in Southern California trauma centers. J Am Coll Surg 2020;231(1):133-8.

Kołpa M, Grochowska A, Gniadek A, Jurkiewicz B. Pourazowe obrażenia czaszkowo-mózgowe u pacjentów w stanie nietrzeźwości, przyjmowanych doraźnie do szpitalnego oddziału ratunkowego. Med Ogólna Nauki o Zdrowiu 2016;22(1):40-5.

Rzepczyk S, Majer J, Obst M. Road safety barriers and the safety of road users – the analysis of the situation in Poland. Logist Transp 2022;55-56(3-4):19-36.

Genc Yavuz B, Zengin Temel T, Satilmis D, Güven R, Çolak Ş. Analysis of electric scooter injuries admitted to the emergency service. Ir J Med Sci 2022;191(2):915-8.

Downloads

Published

2023-03-28

Most read articles by the same author(s)